Phật giáo Việt Nam, từ khi Tổ Tỳ Ni Na Lưu Chi sang truyền Đạo Phật (580-2011) tại VN, nay đã nghót nghét 1429 năm, gần 15 thế kỷ.
Đạo Phật là Đạo Phổ Độ chúng sinh, cứu nhân độ thế cho nên các triều đại huy hoàng Việt Nam, Đinh, Lê, Lý, Trần, Hậu Lê ,Tây Sơn: Mỗi chùa đều có một bệnh xá Đông Y, Thuốc nam, châm cứu để giúp đỡ cho nhân dân gặp khi trở trời, gió nghịch, nhất là dân bệnh nhân nghèo.
Mãi đến khi Triều Nguyễn, nước Việt ta bị Thực dân Pháp đô hộ thì Đạo Phật bị kỳ thị, không được phát triển như trước nữa.
Mặc dầu vậy “miếu rách quá miếu, nhưng thần linh vẫn còn”. Và may thay phong trào chấn hưng Phật Giáo lại được nở rộ bừng lên giữa thế kỷ 20, được sự dìu dắt của Tổ Tố Liên, Bác sỹ Lê Đình Thám và sinh hoạt Phong trào Gia đình Phật Tử với người anh cả cố Giáo sư Võ Đình Cường…
Cho đến ngày nay qua bao thăng trầm, Phật Giáo Việt Nam đồng hành, đồng cam cùng Dân Tộc.
Trong những tháng qua, chúng tôi có theo dõi trang nhà Giaodiemonline.com và phattuvietnam.net cũng như một số các web khác thấy có 2 sự việc nổi bật do Tiến sỹ Cư Sỹ Hồng Quang đề xướng, chúng tôi lấy làm vui thích và suy tư:
1. Đề nghị các chùa nên mở rộng lòng Từ bi, tiếp đón các học sinh từ các làng quê lên Tỉnh, thành phố, trong mùa thi, để bớt gánh nặng chi phí cho gia đình các em.
2. Mở những khóa dạy thiền, để nâng cao sức khõe cho đồng bào; bởi Thiền là phương pháp Trị bệnh không những chữa thân bệnh mà can thiệp luôn cả tâm bệnh.
Vừa qua chúng tôi rất lấy làm vui sướng cảm khích bởi có một số chùa tại TP HCM, Hà Nội, Huế đã dang tay mở rộng lòng từ bi hưởng ứng lời thỉnh cầu này, nhất là HUẾ cái nôi của Phật Giáo VN, chùa Từ Đàm, trung Tâm Phật Giáo Huế, quí Thầy, quý Sư Cô đã đã nỗ lực hết mình, chúng con rất khâm phục và trân trọng tán thán công đức.
Tuy nhiên cũng có rất nhiều chùa đã im hơi lăng tiếng, Phật Tử chúng ta nghĩ gì về sự hời hợt này, đang lúc Tin lành, Ki-Tô giáo đang rầm rộ ào ạt truyền đạo tại VN?
Trở lại vấn đề thứ hai THIỀN CHỮA BỆNH, Cư sỹ Hồng Quang bao năm ở hải ngoại dày công nghiên cứu, sưu tầm, học hỏi, đúc kết, hệ thống lại Phương pháp THIỀN CHỮA BỆNH và đang cổ động mở những lớp đào tạo tại Việt Nam.
Chúng tôi thiết nghĩ vị cư sĩ này đang làm một việc mà các triều đại trước đây đã làm: Đó là đạo Phật nâng cao sức khỏe cho toàn dân.
Ngày xưa, mỗi chùa là mỗi bệnh xá Đông Y, thuốc Nam, châm cứu. Ngày nay, mỗi một Phật Tử nên là một Lương Y tự trị bệnh cho chính mình và cứu độ tha nhân, bằng phương pháp THIỀN TRỊ BỆNH.
Hiện nay tại Hoa Kỳ cũng như các Quốc gia tiên tiến khác đều đưa Thiền vào Y Tế để chữa trị bệnh nhân. Chúng tôi có ghé qua Portland Hospital, bang Oregon Hoa kỳ. Tại bệnh viện này có riêng một khoa chuyên về Thiền trị bệnh. Tại Cộng hòa Liên bang Đức, thành phố Toebingen chữa bệnh bằng Thiền và có luôn máy phân hình và đo hoạt động của não bộ PET (Positron Emission Tomography).

Ni Sư Tường Liên Viện Trưởng Thiên Viện MDQ TP Houston đang tham quan máy Đo Hoạt Động Não tại Toebingen/Germany
Hiên nay phong trào Học Thiền rầm rộ phát triển khắp nơi. Con gái Đại tướng Westmoreland quy y theo đạo Phật ăn chay ngồi thiền, vợ chồng phó Tổng Thống Gore cũng ngồi Thiền, Tổng Thống Hoa Kỳ Barack Obama cũng ngồi thiền để nâng cao sức khỏe và giải tõa những căng thẳng.

Vậy Thiền là gì? Lợi ích của Thiền như thế nào?
Nói một cách giản dị: Thiền là làm lặng yên cái trí nhờ hít vô thở ra theo đúng kỷ thuật. Sự ích lợi của Thiền không thể nghĩ bàn nó bao la vô tận, ai cũng biết Đức Phật đắc đạo là nhờ Thiền định.
Không có Thiền thì không có Phật Giáo. Tác dụng của Thiền làm bộ óc tăng thêm chất xám, sáng tạo, tâm trí vui vẻ, thanh tịnh, giải tõa những căng thẳng lo âu, phiền muộn.

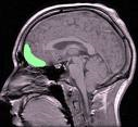
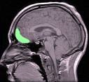
Hình mô tả chất xám gia tăng nhờ ngồi thiền
Cũng trong những năm cuối thế kỷ 20 và đầu thế kỉ 21 này, một số nhà khoa học và nhất là các nhà sinh lý học, giải phẫu học và cơ thể học đã khởi động đào sâu, xoáy mạnh nghiên cứu rộng sâu hơn về vai trò kỳ diệu của một số cơ quan, huyệt mạch hoặc những vùng trong não bộ con người; như Tuyến Tùng Pineal gland nằm sâu trong não có một vai trò hết sức quan trọng về sự phát triển sức khỏe cũng như tâm linh.

Nghiên cứu cho thấy khi một người có tâm loạn động, giận dữ, hệ thống NÃO sản xuất ra Chất Độc tố: Nori (Norepinephrine). Chất độc này như thuốc rầy vậy, làm tinh thần căng thẳng (Stress).
Các nhà tâm sinh lý học nghiên cứu cho thấy 60% bệnh lý là do stress tạo ra. Nhờ thiền định giải tõa nhanh Stress. Máy PET cũng cho biết, nghiên cứu Y Tế Khoa học cũng cho thấy khi ngồi Thiền những tác dụng của hệ thống não bộ sản xuất ra những kháng chất:
– DOPAMINE: khống chế các tế bào ung thư và trị được những bệnh quái ác.
– MELATONIN: Tăng chất xám, bổ não, củng cố bộ óc.
– ENDORPHINS: Chất giảm đau
– ACETYLCHOLINE: làm điều hòa lục phủ, ngũ tạng, cơ thể linh hoạt
– INTERFERON: Do tế bào cơ thể sanh ra, ngăn ngừa không cho các viruses phát triển chống Ung thư. Và nhiều kháng chất nữa.
Các kháng, các nhà khoa học gọi chung là PNI: PSYCHONEUROMMUNOLOGY, tạm dịch: Năng Lượng Tinh Thần, hoặc là: Năng Lượng Siêu nhiên.
Khoa học chứng minh rằng, Thiền đem lại sự quân bình cho cả hai phần phải và trái của khối óc, quân bình các mãnh lực âm dương trong cơ thể.
Tài liệu khoa học nghiên cứu cũng cho thấy, mối tương quan giữa thiền định và sự rung động của bộ óc như sau: Hãy tưởng tượng bạn đang làm việc trong sở, có nhiều vấn đề, như bị chủ la rầy, có nhiều vấn đề cần giải quyết, đầu óc bạn bối rối, bực bội, rồi điện thoại reo, bạn phải trả lời, trả lời chưa xong điện thoại khác lại reo lên nữa, văn thơ đưa tới, nhìn vào thời khóa biểu, sẵn có buổi họp xảy ra trong vài phút, bạn lo lắng, việc trong sở, việc tại nhà v.v….
Trong tình trạng đó, nếu có 1máy đo Điện não đồ ELEC trocephalograph đo mức rung động làn sóng trong óc bạn thì máy EG ghi nhận sự rung động ở mức 22 chu kỳ trong một giây hay ở mức BETA.
Sau khi đi làm trở về nhà ăn uống, tắm rửa nghỉ ngơi thoải mái cho xã giãn thì rung động ở óc sẽ hạ thấp xuống khoảng 10 chu kỳ trong 1 giây hay ở mức ALPHA.
Nếu tham thiền tập trung tư tưởng vào một hình ảnh đẹp như 1 bông hoa, một câu thần chú, hay quán niệm hơi thở, thể xác bạn ngồi yên bất động, tâm trí lăng yên, không bị những tư tưởng lộn xộn, xâm nhập thì mức độ rung động của làn sóng trí óc sẽ được ghi nhận khoảng 4 chu kỳ trong 1 giây hay ở mức THETA .
Nếu bạn là một hành giả đã thiền định nhiều năm, nhập thiền dễ dàng, mức tập trung hoàn hảo đạt đến trạng thái hòa nhập trọn vẹn, không còn phân biệt chủ thể hay đối tượng thì mức rung động của bộ óc sẽ vào khoãng 2 chu kỳ trong 1 giây hay ở mức DELTA.
Khi nhập vào trạng thái siêu đẳng của Đại Định (SAMADHI) toàn thân đắm chìm trong an lạc tuyệt vời, bỏ lại đàng sau cái giới hạn vật chất, thì tiến đến mức ra ngoài DELTA; ra ngoài tầm mức mà kỹ thuật não điện đồ EG không còn đo được nữa.
Tình trạng tâm thức siêu đẳng này thì chỉ người đã đạt đến trạng thái đó mới biết, lúc đó Chân ngã cảm nhận được nó.”
(THIỀN ĐỊNH VÀ KHOA HỌC . Darshani Deane/ Nguyên Phong.)
Như vậy, Thiền định tháo gỡ các tấm màn vô minh, vẫn che mắt chúng ta, từ bao lâu nay, để biết chính mình thực sự là ai, đồng thời khi ta làm chủ được cái tâm thì cánh cửa sức khõe tự nhiên được bật tung ra.
Do đó, đứng vào gốc độ khoa học Thiền mang lại sức khỏe làm cho trí tuệ được thăng hoa, sáng tạo, thông minh hơn đặc biệt giảm y phí cho đồng bào, bớt gánh nặng Y Tế cho nhà nước…
Trên cơ sở Khoa học đó, chúng tôi xin phép đề nghị Quý chư Tôn Đức giáo Phẩm lãnh đạo Giáo Hội Phật Giáo Việt Nam, Quý sư Trú trì của 14.000 ngôi chùa của cả nước, tạo điều kiện cho phong trào THIỀN TRỊ BỆNH sớm khởi động nhịp nhàng cho cả 3 miên đất nước, cũng xin phép đề nghị Quý Chư Tôn Đức Tăng Ni Hải ngoại, các hội từ thiện Phật giáo trong và ngoài nước, quý Phật Tử và quý vị có tinh thần quý mến Phật Giáo, xin hỗ trợ, trợ duyên cho PHONG TRÀO THIỀN CHỮA BỆNH thiết thực này, sớm gặt hái nhiều kết quả tốt đẹp, để Phật giáo Việt Nam có vị trí tốt hơn nữa trong cộng đồng Phật Giáo thế giới.
Có lẽ đây là bước đột phá hoằng pháp thiết thực, cấp bách đối với Phật Giáo Việt Nam trong những ngày bình minh của thế kỷ 21.




















